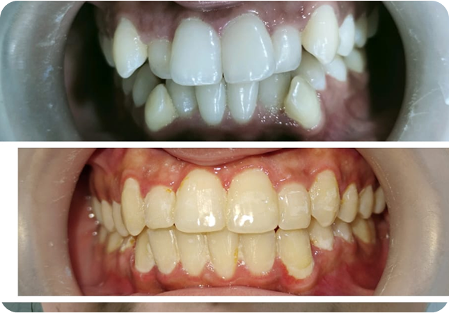
What We've Done for
Happy Smiles

A glimpse into the smiles we've
restored, enhanced, and cared for.

GALLERY

Scroll to Top